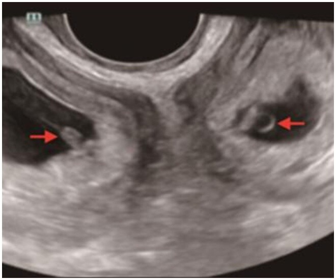
Người mẹ có 2 tử cung, mỗi tử cung đều có một bào thai
Từng mất con vì thai chết lưu, lần này mang song thai “đặc biệt”
Nhân vật chính là chị Tiểu Lý (30 tuổi, tên đã được thay đổi). Trước đây, chị từng có một lần mang thai thất bại khi thai chết lưu ở tuần 27. Khám chuyên sâu cho thấy chị mắc dị dạng đường sinh sản bẩm sinh: hai tử cung, hai cổ tử cung, âm đạo bị chia đôi.
Điều này đồng nghĩa với việc chị có tới hai “căn phòng” riêng biệt cho thai nhi. Nhưng chính cấu tạo phức tạp này lại khiến việc mang thai đầy rủi ro: dễ sảy thai, sinh non, băng huyết, thậm chí vỡ tử cung.
Người mẹ có 2 tử cung, mỗi tử cung đều có một bào thai.
Chưa dừng lại ở đó, Tiểu Lý còn mắc hội chứng kháng phospholipid (APS), một bệnh lý hiếm gặp, có thể gây đông máu và đe dọa tính mạng mẹ lẫn con. Vì vậy, ngay từ đầu, thai kỳ của chị đã được xếp vào diện “nguy cơ cao”.
“Ngay từ lúc tiếp nhận, chúng tôi đã phải tra cứu tài liệu để trả lời hàng loạt câu hỏi: Quản lý thai kỳ tử cung đôi khác gì song thai thông thường? Nguy cơ biến chứng cao bao nhiêu, yếu tố khởi phát là gì? Xử trí sinh non thế nào? Có thể sinh thường không? Nếu mổ thì thời điểm nào phù hợp nhất?”, bác sĩ sản khoa Thái Dĩnh nhớ lại.
Được bác sĩ sản khoa giàu kinh nghiệm Thái Dĩnh trực tiếp theo dõi, Tiểu Lý được xây dựng phác đồ chăm sóc đặc biệt: tiêm thuốc kiểm soát bệnh lý, chế độ ăn uống, vận động khoa học để kiểm soát cân nặng, giúp bà mẹ này có một thai kỳ suôn sẻ và an toàn nhất.
Kết quả thật bất ngờ: suốt thai kỳ, chị tăng cân rất hợp lý, không mắc tiểu đường thai kỳ hay cao huyết áp, những biến chứng thường gặp ở song thai. Các chỉ số của cả mẹ và bé đều ổn định. Đặc biệt, siêu âm cho thấy trong mỗi tử cung của chị đều có một em bé, một trai, một gái, cùng phát triển.
Ca sinh mổ “2 cửa - 2 em bé” đầy thử thách
Đến tuần thai 37+1, sau khi cân nhắc kỹ, ê-kíp quyết định mổ lấy thai chủ động. Đây là lựa chọn an toàn nhất bởi một bé ngôi đầu, một bé ngôi mông, nếu sinh thường sẽ rất nguy hiểm.
Ca mổ diễn ra căng thẳng nhưng thành công: Bé trai nặng 3,26kg ra đời từ tử cung bên trái và bé gái nặng 2,4kg ra đời từ tử cung bên phải. Dù mất máu nhiều hơn bình thường, nhưng nhờ xử trí kịp thời, sức khỏe của mẹ và hai bé đều ổn định. Chỉ sau 4 ngày, cả ba mẹ con đã xuất viện an toàn.
Bác sĩ Thái Dĩnh khiêm tốn nói: "Chúng tôi không phải ê-kíp phẫu thuật giỏi nhất, nhưng nhờ quản lý thai kỳ tốt, nên mẹ con đều an toàn".
Theo bà, chìa khóa của thai kỳ này nằm ở việc kiểm soát cân nặng và dinh dưỡng hợp lý, điều mà bất kỳ mẹ bầu nào cũng cần chú ý, không chỉ những trường hợp hiếm gặp. Sau khi ca bệnh được công bố, nhiều phụ nữ có tử cung đôi ở các nơi khác đã tìm đến Tây An để được tư vấn và theo dõi.
Câu chuyện của Tiểu Lý không chỉ gây ngạc nhiên vì sự hiếm có, mà còn là minh chứng rằng: với sự đồng hành đúng đắn của bác sĩ, cùng tinh thần lạc quan và kiên trì của mẹ bầu, những thai kỳ tưởng chừng bất khả thi vẫn có thể kết thúc viên mãn.
Theo bác sĩ Thái, với xu hướng phụ nữ kết hôn và sinh con muộn, các ca sản phụ lớn tuổi, nguy cơ cao ngày càng nhiều. Đây chính là thách thức của thế hệ bác sĩ sản khoa hôm nay: “Chúng ta phải biến cái khó thành cái dễ, biến việc hiếm thành điều có thể làm được”.

chuyên bán các loại thực phẩm tươi ngon như trái cây, thịt, cá,...
Article sourced from EVA.
Original source can be found here: https://eva.vn/sinh-con/nguoi-me-trung-so-doc-dac-hiem-co-co-hai-tu-cung-cung-luc-mang-thai-va-sinh-duoc-ca-trai-lan-gai-c384a645999.html



