Tưởng đau bụng kinh hoá ra mang thai ngoài tử cung, cô gái 24 tuổi mất 2,2 lít máu, suýt tử vong
Rạng sáng ngày 4/7, cô gái họ Cốc (tên đã thay đổi), sống tại quận Vũ Hoa, tỉnh Hồ Nam, đột ngột tỉnh dậy giữa đêm vì những cơn đau quặn bụng dữ dội. Trước đó 3 ngày, cô đã có dấu hiệu đau bụng kèm chảy máu âm đạo, nhưng vì nghĩ chỉ là đau bụng kinh thông thường nên không đi khám. Đến ngày thứ 3, cơn đau trở nên nghiêm trọng như có dao cứa vào bụng, khiến cô không thể đứng thẳng. Gia đình lập tức đưa cô đến bệnh viện.
Cô gái 24 tuổi nhập viện vì đau bụng dữ dội, sau thăm khám thì phát hiện thai ngoài tử cung (ảnh minh hoạ).
Tại khoa Phụ sản, các bác sĩ xác định bệnh nhân nhập viện trong tình trạng huyết áp tụt, da nhợt nhạt, đau bụng dữ dội và tiếp tục ra máu âm đạo. Qua thăm khám và khai thác bệnh sử, bệnh nhân cho biết đã có tình trạng chảy máu âm đạo suốt 2 tháng qua và cứ ngỡ là kỳ kinh nguyệt kéo dài.
Kết quả xét nghiệm nước tiểu xác nhận cô đang mang thai. Siêu âm khẩn cấp cho thấy có rất nhiều dịch máu trong ổ bụng và vùng chậu, trong khi tử cung lại không chứa túi thai. Thay vào đó, một khối bất thường nằm ở phía trên bên trái tử cung, có chứa phôi thai và dấu hiệu tim thai - dấu hiệu đặc trưng của một ca thai ổ bụng, tình trạng cực kỳ hiếm gặp và nguy hiểm.

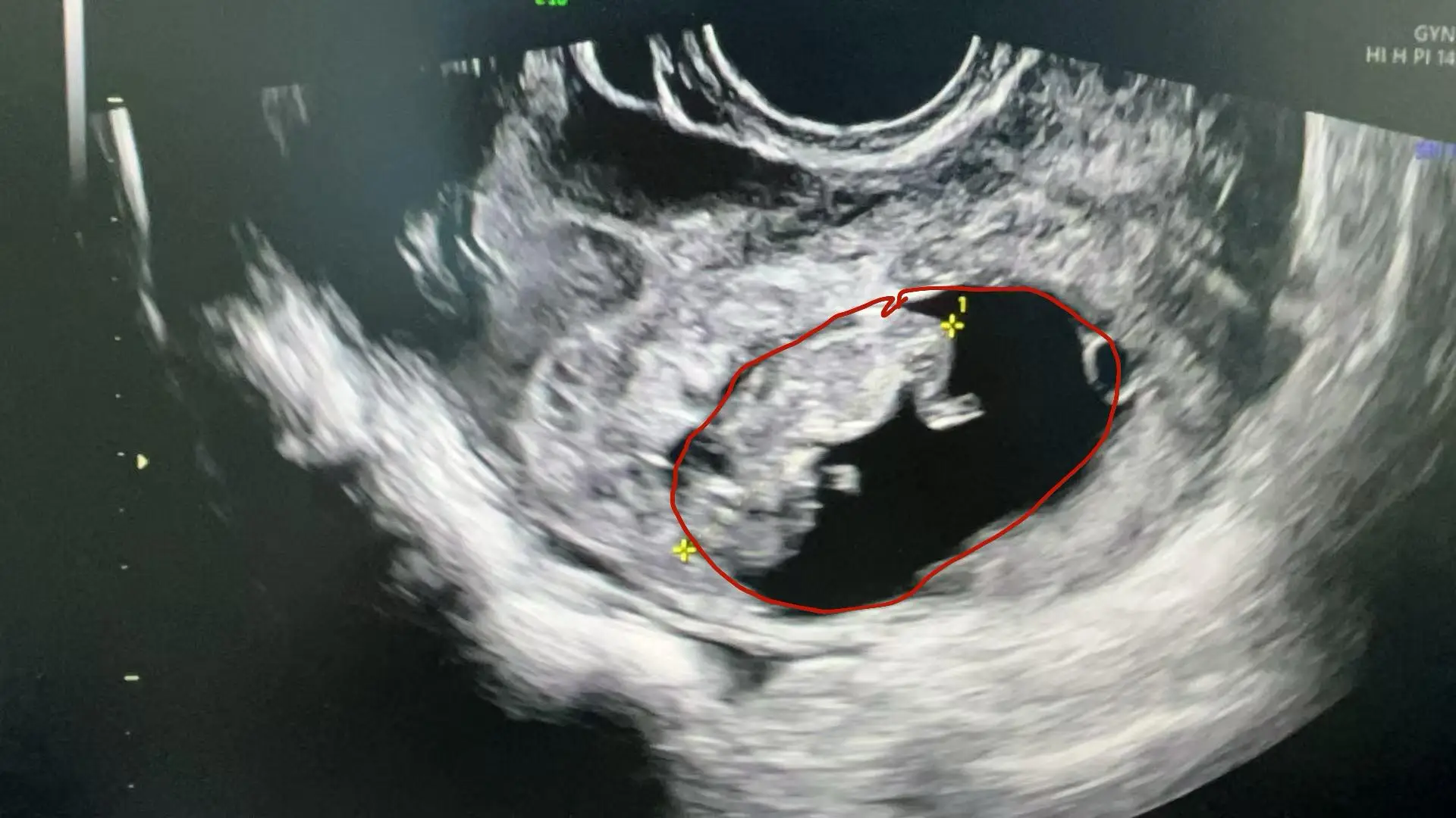
Ảnh chụp bào thai trong ổ bụng của cô Cốc.
Ngay lập tức, bác sĩ trưởng khoa sản Hoàng Giao đã kích hoạt quy trình cấp cứu khẩn cấp, huy động đội ngũ liên chuyên khoa gồm sản khoa, gây mê hồi sức và truyền máu. Khi bệnh nhân được đưa vào phòng mổ, cô gần như đã rơi vào trạng thái mất ý thức. Các bác sĩ mô tả máu trào ra dữ dội như suối ngay khi mở ổ bụng, lượng máu mất ước tính khoảng 2.200 ml - tương đương 40% tổng lượng máu trong cơ thể người. Khối thai được phát hiện nằm trong mạc nối lớn ổ bụng, bên ngoài tử cung. Nhờ phẫu thuật kịp thời, các bác sĩ đã nhanh chóng cầm máu, thực hiện phẫu thuật và thành công cứu sống bệnh nhân.
Hiểm họa từ thai trong ổ bụng
Mang thai ngoài tử cung, hay còn gọi là thai lạc chỗ là một tình trạng cấp cứu sản khoa nguy hiểm, chiếm từ 2 đến 3% tổng số ca mang thai. Phổ biến nhất là thai làm tổ ở vòi trứng, chiếm tới 95% các trường hợp. Thai ổ bụng tuy rất hiếm gặp, chỉ chiếm tỷ lệ khoảng 1 trên 10.000 - 25.000, nhưng lại đặc biệt nguy hiểm, với tỷ lệ tử vong ở mẹ lên tới 5% và tỷ lệ thai nhi sống sót gần như bằng không.
Thai ổ bụng được chia thành hai loại: nguyên phát và thứ phát. Trong đó, nguyên phát là trường hợp trứng đã thụ tinh làm tổ trực tiếp trên phúc mạc hoặc các cơ quan trong ổ bụng, còn thứ phát xảy ra khi thai làm tổ tại vòi trứng, sau đó bị vỡ và rơi vào ổ bụng, tiếp tục phát triển nếu gặp điều kiện thuận lợi. Trường hợp của cô Cốc được xác định là thai ổ bụng thứ phát, khi các bác sĩ phát hiện ống dẫn trứng bên trái của cô đã bị vỡ, còn túi thai thì được mạc nối trong ổ bụng bao bọc và vẫn tiếp tục phát triển tại đó.
Không giống như thai ở vòi trứng có thể được điều trị bằng thuốc hoặc theo dõi, thai trong ổ bụng bắt buộc phải phẫu thuật ngay khi được chẩn đoán. Sau mổ, người bệnh cần được theo dõi sát sao thông qua siêu âm và xét nghiệm nồng độ beta hCG để đánh giá mức độ hồi phục và phát hiện kịp thời các nguy cơ tái phát.
Theo bác sĩ Hoàng Giao vừa điều trị cho cô Cốc, có 3 dấu hiệu đặc trưng giúp sớm nhận biết mang thai ngoài tử cung. Đầu tiên là hiện tượng chậm kinh, thường xảy ra sau khoảng 6 - 8 tuần kể từ lần kinh cuối cùng. Tiếp theo là đau bụng đột ngột và dữ dội. Cuối cùng là ra máu âm đạo bất thường, lượng máu ít và có màu sẫm. Trong trường hợp nghiêm trọng, người bệnh có thể bị choáng, ngất xỉu, thậm chí rơi vào tình trạng sốc mất máu đe dọa tính mạng.

Các chị em nên đi khám ngay khi phát hiện các cơn đau bất thường (ảnh minh hoạ).
Để phòng ngừa, phụ nữ trong độ tuổi sinh sản nên áp dụng các biện pháp tránh thai an toàn nếu chưa có kế hoạch sinh con trong đó bao cao su và thuốc tránh thai hằng ngày là những lựa chọn được khuyến nghị. Khi có dấu hiệu trễ kinh, cần đi khám và siêu âm càng sớm càng tốt để xác định chính xác vị trí làm tổ của phôi thai.
Ngoài ra, khi đến khám, người bệnh nên khai báo trung thực với bác sĩ về lịch sử sinh hoạt tình dục để việc chẩn đoán được chính xác hơn. Không nên lạm dụng thuốc tránh thai khẩn cấp vì tỷ lệ thất bại có thể lên tới 15%, không nên xem nhẹ các cơn đau bụng bất thường hay tình trạng ra máu kéo dài và tuyệt đối không được giấu giếm tiền sử bệnh tật do tâm lý e ngại.
Viêm nhiễm vòi trứng và vùng chậu là những yếu tố nguy cơ hàng đầu gây thai ngoài tử cung. Vì vậy, việc duy trì vệ sinh cá nhân, điều trị triệt để các bệnh phụ khoa, và tránh nạo phá thai nhiều lần là rất cần thiết. Với những người từng có tiền sử mang thai ngoài tử cung, cần đợi ít nhất 3 - 6 tháng trước khi mang thai lại. Trong giai đoạn đầu thai kỳ, cần theo dõi sát sao bằng siêu âm để đảm bảo thai làm tổ trong tử cung và phát triển bình thường.

Article sourced from EVA.
Original source can be found here: https://eva.vn/mang-thai/tuong-dau-bung-kinh-hoa-ra-mang-thai-ngoai-tu-cung-co-gai-24-tuoi-mat-22-lit-mau-suyt-tu-vong-c383a639989.html



