Nguy hại không tưởng từ việc cúi đầu sử dụng điện thoại trong thời gian dài
Tiểu Chiêu đến từ Chiết Giang (Trung Quốc) vốn là một cậu bé hiếu động và vui vẻ, cậu sẽ vào lớp 4 vào tháng 9 tới. Kỳ nghỉ hè kéo dài hai tháng, cô Tăng - mẹ của Tiểu Chiêu, thường bận rộn với công việc, đã bàn bạc với chồng để đưa con về quê nhờ ông bà chăm sóc.
Vì yêu thương cháu, ông bà của Tiểu Chiêu cũng nuông chiều cậu bé, cho Tiểu Chiêu tự do vui chơi. Không ngờ sau một tháng, cổ của Tiểu Chiêu đột nhiên không thể cử động, cũng không thể nằm và kèm theo đó là những cơn đau nhức từng cơn.
Cô Tăng vội vàng đưa con đến Khoa Châm cứu và Xoa bóp của Bệnh viện Y học cổ truyền và Tây y ở Hàng Châu (Trung Quốc). Nhìn bệnh nhân nhỏ bé trước mặt, bác sĩ bối rối, sau nhiều lần thăm hỏi, Tiểu Chiêu ngập ngừng, ấp úng nói ra nguyên nhân của tình trạng này. Hóa ra trong tháng qua, Tiểu Chiêu hầu như dành toàn bộ thời gian để chơi điện thoại di động và xem máy tính bảng, ngoại trừ thời gian ăn và ngủ thì không làm gì khác nữa.


Lúc mới bắt đầu bị "liệt cổ", Tiểu Chiêu chỉ cảm thấy cổ và vai hơi đau nhức nhưng lại sợ mẹ phát hiện sẽ không cho chơi điện thoại di động nữa, đến lúc không thể nằm xuống ngủ bình thường được thì mới báo với mẹ.
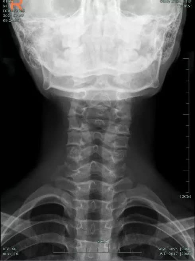
Bác sĩ phán đoán sơ bộ rằng Tiểu Chiêu có vấn đề về cột sống cổ. Kết quả khám phim DR vùng cổ cho thấy bệnh thoái hóa đốt sống cổ của cậu bé rất nghiêm trọng, thậm chí còn nghiêm trọng hơn tình trạng của nhiều người lớn. Cột sống cổ của cậu bé lúc này tương đương với 1 người ở độ tuổi 30.
Căn cứ vào tình trạng của cậu bé, bác sĩ đã áp dụng phác đồ điều trị châm cứu kết hợp xoa bóp nắn chỉnh xương. Sau nhiều lần điều trị, chứng đau cổ của cậu bé đã dần biến mất, Tiểu Chiêu đến bệnh viện tái khám cách đây vài ngày và đã cải thiện đáng kể.
Nguy hại từ việc cúi đầu sử dụng điện thoại trong thời gian dài
Bác sĩ giải thích, cúi đầu sẽ gây căng cơ vùng sau gáy, nếu thời gian kéo dài hơn 1 tiếng thì lượng glycogen và ion trong cơ sẽ giảm đi rất nhiều, đồng thời chức năng của hệ thần kinh dopamin trong cơ sẽ bị suy giảm đáng kể, dẫn đến tình trạng thiếu oxy và thiếu máu cục bộ cơ bắp, các chất thải trao đổi chất, axit lactic... tăng mạnh. Nếu không được nghỉ ngơi, thư giãn thì các cơ sẽ không thể duy trì được trọng lực của đầu do mỏi và yếu, lực hấp dẫn này sẽ truyền đến hệ thống dây chằng cổ làm cho độ căng của dây chằng tăng lên đáng kể.
Yan Guihui, chuyên gia vật lý trị liệu hàng đầu tại Health World thuộc Hiệp hội Phúc lợi Sheng Kung Hui Hồng Kông (Trung Quốc) giả sử góc cổ (bình thường) là 15 độ, trọng lượng trên cổ là 27 pound (khoảng 12.24kg) nhưng khi góc cổ là 45 độ, trọng lượng trên cổ sẽ lên tới 49 pound (khoảng 22.22kg). Theo thời gian, áp lực quá lớn lên cổ sẽ gây mỏi cổ, dẫn đến đau cổ, đau vai, đau cánh tay và các triệu chứng đau khác, nếu dây thần kinh bị chèn ép sẽ dẫn đến tê liệt, trường hợp nặng sẽ xuất hiện đau đầu, buồn nôn và nôn.
Lâu dần sẽ dẫn đến tổn thương không hồi phục và teo cơ mặt sau cổ, thoái hóa dây chằng, tổn thương, chảy máu, tổ chức tại điểm bám của thân đốt sống thậm chí dày lên thành vôi hóa, gai xương. Do đó, mọi người không nên làm việc ở cùng một tư thế trong thời gian dài, cứ sau 45-60 phút nên nghỉ ngơi, đứng dậy vận động trong 5-10 phút, tập cổ, tay và thời gian làm việc không quá 8 giờ một ngày.

Bài tập để ngăn ngừa thoái hóa cột sống cổ
Tỷ lệ mắc bệnh thoái hóa đốt sống cổ ngày càng cao, bác sĩ phẫu thuật chỉnh hình cột sống của Bệnh viện Nhân dân số 2 tỉnh Quảng Đông (Trung Quốc) sẽ giới thiệu cho mọi người một bộ bài tập cột sống cổ, mỗi lần tập chỉ mất vài giây:
1. Cột sống cổ nghiêng về phía sau, chi trên duỗi về phía sau

2. Đặt hai tay lên hông và nghiêng cổ về bên trái càng xa càng tốt

3. Đặt hai tay lên hông và nghiêng cổ về bên phải càng xa càng tốt

Bác sĩ nhắc nhở động tác rất đơn giản nhưng bạn cần ngả người về phía sau càng nhiều càng tốt, sau đó từ từ rút lại. Điều này có thể thư giãn cơ cổ và vai, đồng thời rèn luyện các cơ căng sau gáy do ngồi lâu.

Article sourced from KENH14.
Original source can be found here: http://kenh14.vn/10-tuoi-cot-song-co-da-cong-veo-khong-cu-dong-duoc-vi-thoi-quen-cua-nhieu-nguoi-20230830104917907.chn


